Smile Gallery
If you've ever wondered what a certain treatment looks like, we can show you!
Take a look through our collection of real patients from our Rockville dental office and imagine the possibilities for your own smile!
Paula is 68 years old and had advanced gum disease in three lower teeth which had to be removed. First the teeth were carefully extracted by an experienced oral surgeon, and a temporary removable prosthesis was used for a few months. Just a few short weeks after taking impressions and photographs to get the best possible match, the final fixed prosthesis was delivered, and the case turned out great!
Lindsay has a great oral hygiene, and we rarely find any cavities during exams, but she has been concerned with this dark line running down the middle of her front tooth. In less than an hour, we were able to successfully mask the discolored area with a bonded composite restoration in Rockville. The best part? No injection necessary! It was a painless transformation!
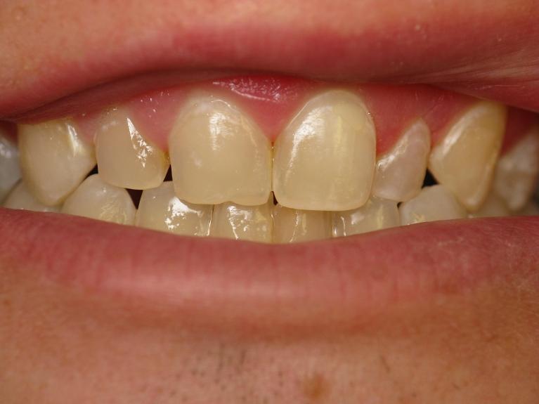
Rachel is 45, and she chipped her tooth with a metal fork. She was pleased to here that she didn't need an injection in order to get this filling done on her front tooth. After a short visit to Gladnick Family & Cosmetic Dentistry, she feels, and looks, like her old self again!
Veronica is 55, and she never had braces as a kid, but she's always been concerned with the appearance of her front tooth that doesn't seem to fit in her smile. After one year of clear aligner therapy with ClearCorrect, you'd never know that one tooth used to point in a different direction! Now Veronica smiles bigger than she ever has!
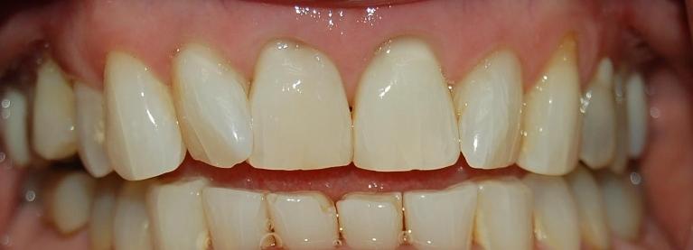
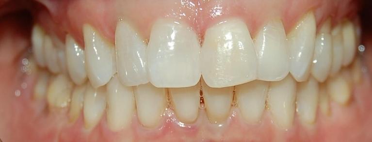
Christina has a very healthy mouth with no sign of cavities or infection. However, three of her teeth had dark, circular stains on the front surfaces. There were multiple ways to restore Christina’s smile, and after discussing the options with her, Christina chose to have veneers placed on her six front teeth, to create perfect matching for her smile.
Schedule a Cosmetic Dentistry Consultation Today
If you are ready to schedule a consultation to improve your smile with dental veneers in Rockville, MD, please contact Gladnick Family and Cosmetic Dentistry in Rockville, MD.
60 year old Laura has worn down her front teeth from years of grinding. In one appointment, we were able to lengthen three front teeth and restore their natural, smooth contours. Now Laura has a night guard that protects her teeth from any more chipping or wear.
Allison was never happy with the appearance of her front teeth, and she had been considering restoring them with veneers for years. When she did, she said that she wished she did it years ago! The result was a much happier smile that follows the natural contours of her lip.
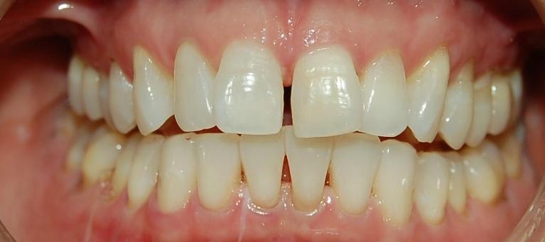
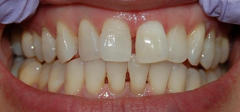
Betsy has great hygiene, great teeth, and a winning smile. The only thing that bothered her was the gap in between her two front upper teeth. In one appointment, Dr. Liz placed bonded composite restorations on both of her front teeth to close the gap. The result was natural, bright, well matched restorations that fit her smile perfectly.
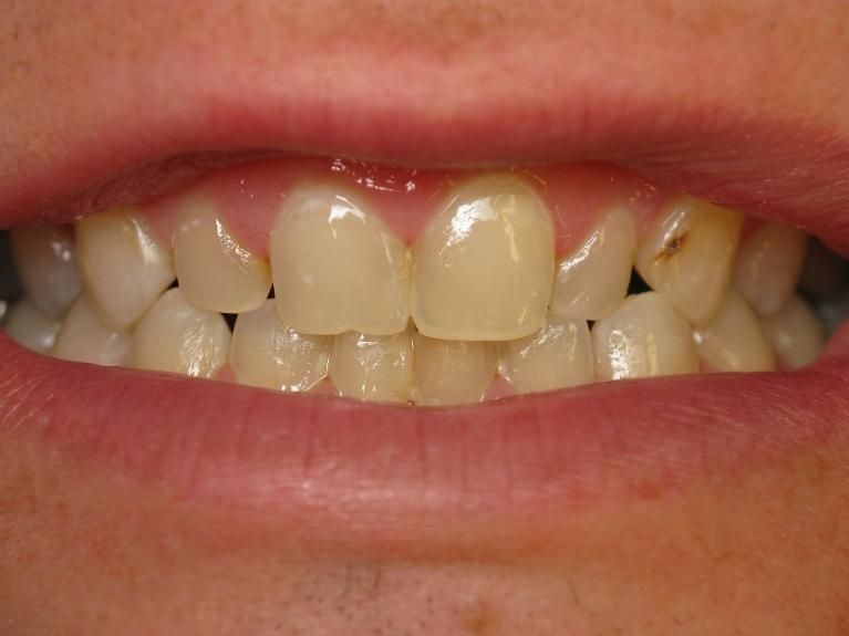
Betsy has been a patient at this practice for over 20 years, and she's only ever had a few cavities. However, she did have root canal treatment in a front tooth years ago, and the tooth has darkened over time. After five quick internal bleaching appointments, the root canal treated tooth was brightened to match the teeth around it. Betsy also figured it was a great time to whiten the other teeth too, and we replaced the filling that no longer matched. What a great result!
Tim is 20 years old and was always missing his right and left lateral incisors. After a year of orthodontics to prepare the areas for tooth replacement with implants, he is very happy to finally have a full set of teeth!
Annie has always had a big smile and even though she loved to show it off, she couldn't help noticing the crookedness and crowding of her lower front teeth. After moving the lower front teeth into a more aligned position with Invisalign, Annie asked 'Can we close the gap between those upper front teeth too?' Just a few months later, that gap was closed, and Amy is smiling bigger than ever. Thanks to some take-home whitening, her smile is brighter than ever too!
Stewart chipped his tooth in a cycling accident decades ago, and the original filling that fixed his tooth recently broke. We can also see that there was some staining around the edges of the filling, which is common in old fillings. After polishing the old filling, the staining was easily removed and a new filling was placed to restore the tooth to it's natural contour!
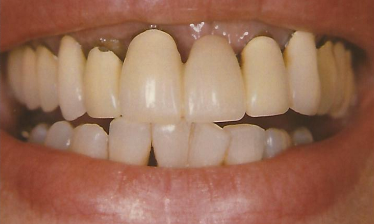
Berta has had extensive dental work done over the years, including on her front teeth. Over time, a filling has become stained and her crown has started to look more noticeable. Berta was also concerned with the tucked-in appearance of her front teeth, and wanted a smile that wasn’t so narrow. After discussing her options, including braces that would have taken many months and many appointments, Berta chose to have veneers placed on 8 of her front teeth. She loves her new smile, and we love seeing her smile!
Carole was concerned her old bridge that replaced her two front teeth was starting to chip. But not only was the porcelain fractured near the gumline on one tooth, the front two teeth were two different sizes! We made her a new ceramic bridge to give her a brighter, more balanced smile. A simple Botox treatment added the finishing touch so Carole doesn’t expose so much of her gumline when she smiles.
Chris was concerned about the staining on an old filling on an upper canine. In a simple half hour appointment, the old filling with the staining was removed, and a new one was placed. Thanks to a custom color match and some polishing, the new filling is a great fit for his smile.
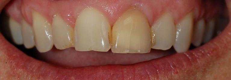
Jeannie was concerned with the darkness on her front tooth that had root canal treatment decades ago. She was happy with the brightness of the other teeth in her smile, but that one front tooth just didn't match. Over the course of four painless 20-minute appointments, Jeannie's tooth was returned to its natural color and is a great fit for the rest of the smile.
Always a pleasure to have my teeth taken care of at this practice. Everyone is so friendly, helpful and competent! I always look forward to going!
- Ruth M.