Dental Fillings in Rockville, MD

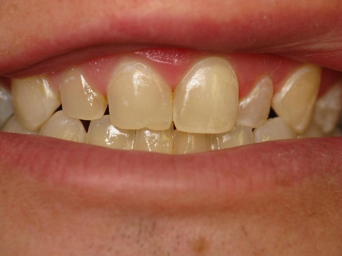
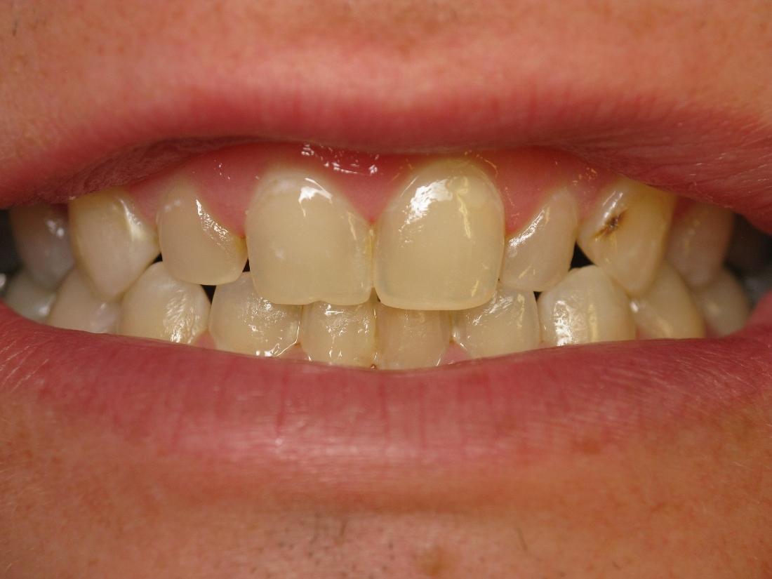
Chris was concerned about the staining on an old filling on an upper canine. In a simple half hour appointment, the old filling with the staining was removed, and a new one was placed. Thanks to a custom color match and some polishing, the new filling is a great fit for his smile.

Related Services:

Fillings
Before old fillings | Rockville, MD | Gladnick Family & Cosmetic Dentistry After whitened fillings | Rockville, MD | Gladnick Family & Cosmetic Dentistry
Ready to book an appointment?