Skip to main content Accessible Version
Dental Implants
Looking to replace your missing teeth?

Missing teeth cause discomfort and embarrassment. Let us help restore your comfort and confidence with state-of-the-art dental implants in Rockville.

Couple with dental implants smiling in Rockville, MD
Are you ready to get your dream smile?
Call Us Today

Dental Implants in Rockville, MD

Couple sitting at Wootton's Mill Park, Community Garden in Rockville, MDWhen George Washington lost his teeth over 200 years ago, the only treatment was a poorly fitting denture. (Fun fact, history buffs! They weren’t actually wooden; they were made from ivory and gold!)

Today, patients are a whole lot luckier compared to our forefathers. Dentures have improved dramatically in the past two centuries, and nowadays, they fit comfortably and function well. Even more recently, tooth replacement with dental implants has given patients at our Rockville, MD dental office the most natural feeling and functioning prosthesis yet.

A dental implant comprises a titanium screw-like device, which is inserted into a patient’s jawbone in the area of a missing tooth. The implant itself functions like the root of a tooth and is used to anchor a prosthetic tooth, or crown, to the mouth. Implants and their crowns are solid, fixed prostheses, that patients can use to chew food and smile just like the rest of their natural teeth. Implants are also brushed and flossed as if they were natural teeth.

If you are investigating ways to replace a missing tooth in Rockville, MD, give us a call. One of our dentists can talk to you about tooth replacement options. Because we get so many questions about replacing missing teeth, we have put together a list of common questions below.

  • How do I get a dental implant?
  • What if I am missing multiple teeth?
  • Does it hurt to get a dental implant?
  • How do I take care of my dental implants?
  • How long will my dental implant last?
  • Can my dental implant fall out?
  • What are the advantages of dental implants over other tooth replacement options?
  • How do I get started?

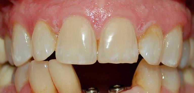
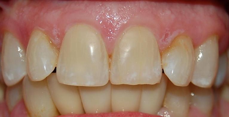
How do I get a dental implant in Rockville?

Making a tooth implant and crown for patients of our Rockville, MD dental office takes several steps.

First, a thorough evaluation is necessary to plan the procedure. Many different types of dental implants are available, and we need to know as much about you and your mouth as we can so that we choose the right one.

During the evaluation, your Rockville, MD top dentist who will be placing the implant will tell you what to expect and how to care for your mouth after the implant has been placed.

After the appropriate amount of healing time—usually a few months—an impression is taken and sent to a lab where artisans will craft your new implant crown to custom fit your smile and your bite.

Then the only thing left to do is place the crown in its proper orientation in your mouth. This step takes place in our Rockville, MD office when the dental implant is permanently integrated into the jawbone.

Benefits of Dental Implants

In addition to their natural look and convenience, there are other benefits to replacing missing teeth with dental implants at our Rockville, MD, dental office.

Preserves Jawbone Health

After tooth loss, the body no longer sends nutrients to the area, causing bone resorption over time. A dental implant tricks the body into thinking there's still a tooth root in place, so the jawbone is preserved.

Preserves Natural Tooth

For tooth replacement options like a dental bridge, the adjacent teeth need to be fitted with a dental crown to keep the bridge in place. With dental implants, there's no need for this, so your healthy teeth are kept intact.

Convenient and Comfortable

You care for a dental implant just as you would a natural tooth: brush and floss regularly, and see your dentist every six months for examinations and cleanings. Patients can't even tell a dental implant isn't a real tooth!

What if I am missing multiple teeth?

Implants are great for replacing a single tooth, but that’s not all they can do! Dental implants at our Rockville, MD dental office can be used to support multiple teeth on just two implants (implant-supported bridges), and they can even be used to help patients who have no teeth at all.

Many patients who have been missing their teeth for years and have been wearing dentures are frustrated by the way the dentures don’t seem to be stable against their gums. This doesn’t necessarily mean that it’s a bad denture. The fact is that dentures just don’t work like natural teeth. For patients like this, implants can be used to hold the dentures in place, so they don’t move around during eating or talking. And patients without teeth in Rockville, MD don’t have to settle for dentures! Implants can be used to hold replacement teeth that you don’t have to remove.

Does it hurt to get a dental implant?

Nobody likes dental pain, but the good news about dental implant placement is that the dentist will only proceed after the area has been thoroughly numbed. Most patients in Rockville are pleasantly surprised that the dental implant placement procedure is quicker and less invasive than they’d expected.

After the dental implant placement, there may be minor discomfort and swelling at the site, but this usually clears up in a couple of days. Over-the-counter pain medications usually relieve any symptoms you might experience.

How do I take care of my dental implants?

Dental implants are designed to last as long as a lifetime, but they will need proper care—much like your natural teeth. If your dental implants fail, it usually points to one of two things:

  • Teeth grinding or clenching. Also known as bruxism, this unconscious habit can wreak havoc on your teeth as well as your dental implants. Our Rockville, MD dentist may recommend a night guard, which can protect your teeth from this difficult-to-break habit.
  • Gum disease. If you develop gum disease, this can cause your implants to fail. It’s crucial that you practice good home care with proper brushing and flossing and visit the dentist twice a year for examinations and cleanings.

How long will my dental implant last?

Your implants should last many decades—and possibly even for the rest of your life—if you take care of them properly. All you need to do is brush and floss diligently and visit the dentist biannually, and your dental implants should give you many years of service.

Can my dental implant fall out?

Many of our patients worry that their dental implants could fall out. But because they are permanently integrated into the jawbone, they will not fall out or move the way dentures do. In fact, you can treat your dental implant just like you would treat a regular tooth. There are no eating restrictions with dental implants, so enjoy that crunchy apple and juicy steak!

Frequently Asked Questions

The dental implant procedure is painless because we administer a strong anesthetic. The anesthetic numbs the area where we'll be working in the mouth and reduces discomfort and pain.

At Gladnick Family & Cosmetic Dentistry, our friendly and gentle team has several years of experience placing and restoring dental implants in Rockville, MD. And our patients have loved their results. Our goal is to help you attain the healthy, beautiful smile you want in a comfortable and welcoming environment.

Our top dentists are highly skilled and trained in implant dentistry, so you can rest assured knowing you are in the most caring and capable hands. Before your treatment, we will perform a thorough oral health evaluation, take impressions, and create a detailed and personalized treatment plan to meet your needs and goals. 

Learn More About Dental Implants in Rockville, MD

Tooth loss can affect how we eat, speak, and socialize. Missing teeth can also lead to other oral health concerns, like infection or gum disease.

However, our Rockville, MD dentists have several tooth replacement options for you, including permanent dental implants. Don't hesitate to get in touch with us today to schedule a consultation or to speak with a knowledgeable member of our team. 

Dental implants are an excellent option for restoring one or multiple missing teeth. In addition, we can use multiple dental implants to help support prosthetics like a bridge or denture for patients who are missing more than one tooth. 

How Do Rockville Dental Implants Work?

Dental implants are unique in that they restore both the tooth and its root. There is no other tooth replacement solution that can do that. 

The implant is placed carefully into your jawbone and given time to heal and integrate with your bone, which it does, over time, through a process called osseointegration

If we're replacing a single tooth, our dentists will create a customized porcelain crown that will restore full function and aesthetics to your smile. If you're missing multiple teeth, dental implants may act as an anchor for a bridge or denture that is designed to restore multiple missing teeth or even an entire arch of lost teeth. 

Will Dental Implants in Rockville Work for Me?

If you'd like to learn more about how dental implants can restore your smile, the first step is scheduling an evaluation with Dr. Tommy or Dr. Liz. They'll help you determine if dental implants will work for your needs, and if not, they'll discuss alternative treatment solutions with you. 

Schedule your evaluation by calling us at (301) 963-0800.

Replacing your missing teeth can improve your self-esteem and make you more likely to smile in pictures. However, did you know that choosing dental implants can improve your oral health and give you a beautiful smile for a lifetime? If you’ve ever wondered how much dental implants cost, consider investing in your smile.

Weighing the Cost of Dental Implants

The cost of your implants may vary depending on the number needed and any other existing dental concerns.

It’s true; dental implants are more expensive than traditional dentures or bridges. On the surface, you may not think the additional cost is worth it. However, tooth implants can last a lifetime, unlike the alternatives.

In addition, dental implants stimulate your jawbone and act as your missing tooth’s root. This helps preserve your jawbone density and keeps your face from sagging and looking older.

So, consider talking to your dentist about investing in dental implants.

Ready to Schedule an Implant Consultation?

If you would like to speak with your Rockville dentist about replacing your missing teeth with dental implants, we would love to hear from you! At Gladnick Family & Cosmetic Dentistry, our goal is to give you the smile you’ve always wanted. Contact our dental office at (301) 963-0800.

Meet Our Doctors:

Headshot of Dr. Thomas B. Gladnick, best dentist in Rockville, MD

Dr. Thomas B. Gladnick

Dr. Thomas B. Gladnick, originally from Newark, Delaware, graduated from the University of Delaware with a degree in Biology and earned his Doctor of Dental Medicine degree from Temple University in Philadelphia, Pennsylvania.

Dr. Tommy spent ...

Headshot of Dr. Elizabeth P. Gladnick, top dentist near me Rockville, MD

Dr. Elizabeth P. Gladnick

Dr. Elizabeth P. Gladnick was born and raised in Massachusetts. She received her Bachelor of Science degree in Psychology from Pennsylvania State University and earned her Doctor of Dental Medicine degree from Temple University in ...

Get Started with Dental Implants in Rockville, MD

Have you had a tooth removed recently? Was it lost several years ago? Are you missing one tooth, several teeth, or all your teeth? In all of these cases, implants at our Rockville, MD dental office can help.

Additionally, if you are unhappy with the way your denture fits in your mouth, please visit us to see if a dental implant can help you, too.

After you have your dental implant, you’ll be thankful that dental technology has come so far since the days of our founding fathers! Call (301) 963-0800 to book an appointment today! We are conveniently located in the Shady Grove neighborhood of Rockville near North Potomac.

Featured Blog Posts - Dental Implants

September 15, 2024

Restore Your Smile: Tooth Replacement Options in Rockville

Dentist near me showing model of dental implant in Rockville

You may wonder how to restore your smile when a tooth is missing. Your Rockville dentist is here to help. 

A complete smile looks beautiful but is also essential for your overall health. Losing a tooth can make eating and chewing correctly tricky, not to mention speaking clearly. Loss of self-esteem ...

July 25, 2024

Why Dental Implants Are Considered the Gold Standard

Implant screw and dental crown in Rockville, MD

Missing teeth pose several challenges, including the ability to enjoy meals and to speak and laugh with confidence. Tooth loss also impacts your oral health.

At Gladnick Family & Cosmetic Dentistry, we offer various tooth replacement options, but dental implants are considered the gold standard—for several reasons.

Dental Implants: The Gold ...

March 9, 2022

How Much Are Dental Implants in Rockville, MD?

Husband and wife wearing dental implants in Rockville MD

Dental implants are an excellent solution for patients missing one or more teeth. Not only do implants replace missing teeth, but they also protect your oral health by restoring both your lost root and a missing tooth. There are no other tooth replacement options that provide this benefit.

While dental ...

Learn more about replacing teeth with implants
Give Us A Call!