Dental Implants

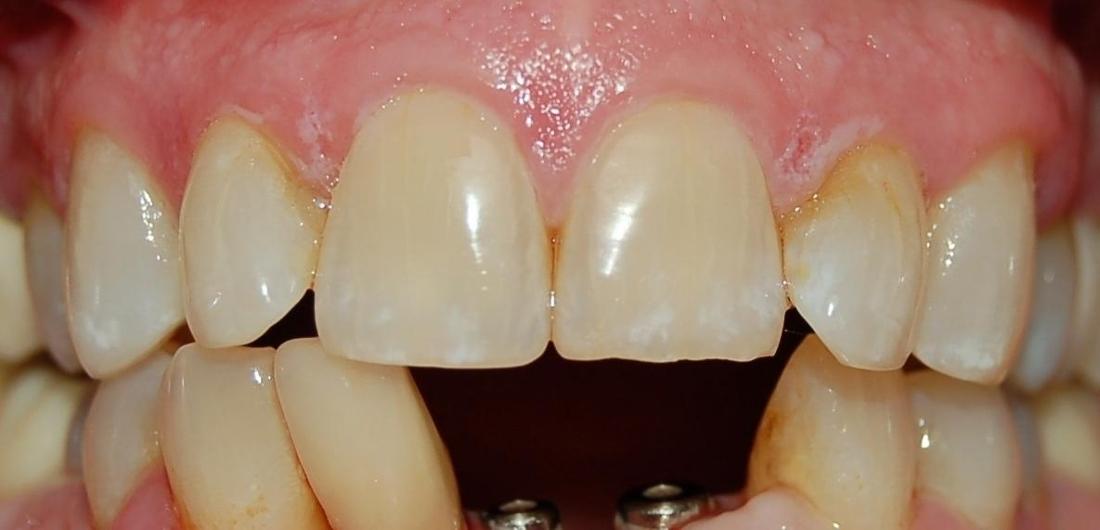
Paula is 68 years old and had advanced gum disease in three lower teeth which had to be removed. First the teeth were carefully extracted by an experienced oral surgeon, and a temporary removable prosthesis was used for a few months. Just a few short weeks after taking impressions and photographs to get the best possible match, the final fixed prosthesis was delivered, and the case turned out great!

Related Services:

Dental Implants
Advanced Gum Disease treatment | Rockville, MD | Gladnick Family & Cosmetic Dentistry After dental implants | Cosmetic Dentistry Rockville MD
Still need an appointment?