Internal Tooth Bleaching in Rockville, MD
Why are my teeth discolored?
As a patient interested in whitening your smile, it can be difficult to know where to start. There are seemingly endless advertisements on TV, and many companies offer products that all claim to be better than each other. Many of these products work very well, and we offer some of them right here in our own office. However, they only work for natural teeth with living, healthy nerves. In teeth with healthy nerves, discoloration is caused by the foods we eat and the beverages we drink (Hello, Merlot!), so the darkness that we see is coming from that outermost layer of enamel. In teeth that have had a history of large cavities, trauma, or root canal treatment, the discoloration is actually coming from the inside of the tooth. In these cases, even though the tooth looks much darker, there actually may be nothing at all wrong with the enamel. So traditional whitening techniques like bleaching trays and strips or whitening pens or toothpaste will have no effect in these cases.
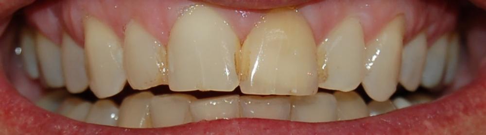
Let’s see if this sounds like you: You’re 50 years old, and for the most part, you like the way that your teeth look. You brush and floss regularly and you use your bleaching trays every now and then, but there is just one tooth that looks darker than the others. And it’s your front tooth. Come to think of it, it’s the same tooth that was root canal treated 35 years ago after you took an elbow to the face in a game of basketball. You’ve tried every whitening toothpaste out there, but you just can’t get this one as light as
the rest!
That sounds like the same issue I have! How can I fix it?
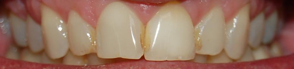
While the ages of the patients and the sources of the trauma might vary, the frustration is often the same. The good news is that even though many of the usual treatments aren’t effective, there is one that has had great success. Internal tooth bleaching, or non-vital bleaching, is used only in teeth that have had a history of root canal treatment. In this procedure, we remove some of the filling material that was used for the root canal procedure and replace it with a whitening solution. The whitening solution breaks up the large, dark-pigmented organic molecules into smaller molecules that are much lighter in color. After just a few weeks, the dark tooth that has been bothering you for years can look like the other teeth that you love. Once the whitening is completed, a new filling is placed in the tooth, you are good to go!
Internal tooth bleaching sounds right for me, what should I do?
There are some instances in which internal bleaching will not be effective, and other treatments such as crowns or veneers are the only way to improve the color of the tooth. While predictable and safe, those treatments require the removal of otherwise healthy tooth structure. If we can avoid that through a more conservative treatment and still achieve a great result, even better! Do you have a front tooth that looks darker than the others? Give Gladnick Family & Cosmetic Dentistry in the Shady Grove neighborhood of Rockville a call today at (301) 963-0800 and schedule an internal bleaching consult in Rockville, MD!
