Internal Bleaching

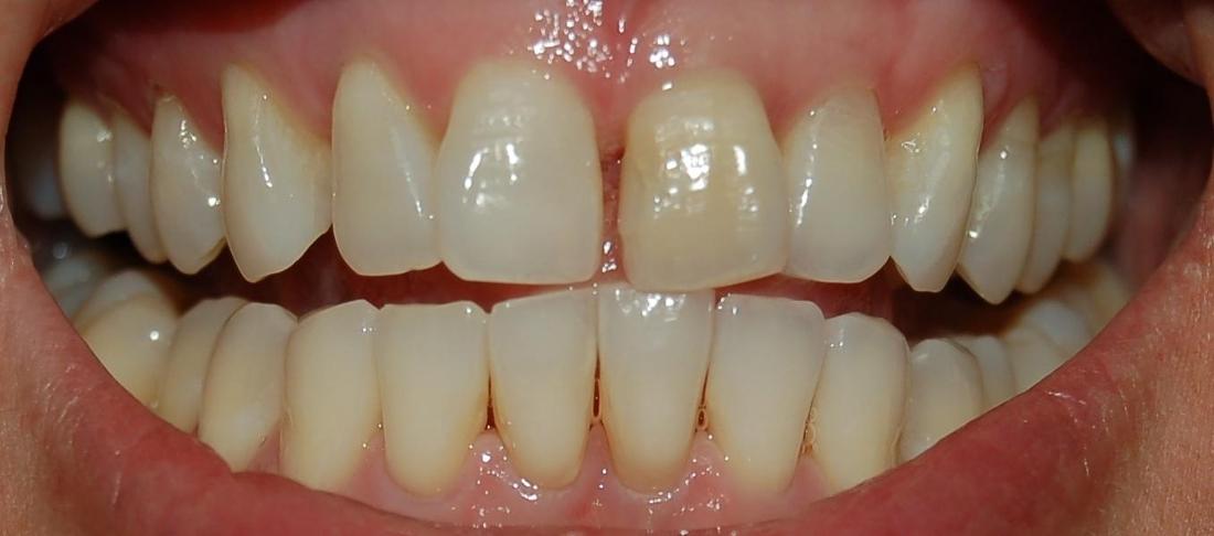
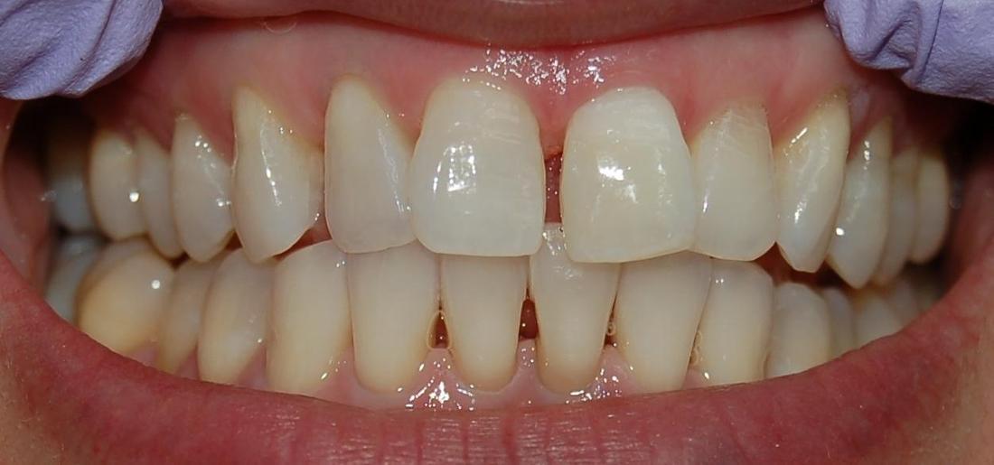
Betsy has been a patient at this practice for over 20 years, and she's only ever had a few cavities. However, she did have root canal treatment in a front tooth years ago, and the tooth has darkened over time. After five quick internal bleaching appointments, the root canal treated tooth was brightened to match the teeth around it. Betsy also figured it was a great time to whiten the other teeth too, and we replaced the filling that no longer matched. What a great result!

Related Services:

Internal Bleaching
Internal Bleaching | Rockville, MD | Gladnick Family & Cosmetic Dentistry Matching White Teeth | Rockville, MD | Gladnick Family & Cosmetic Dentistry
Still need an appointment?