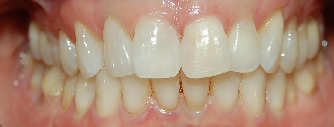
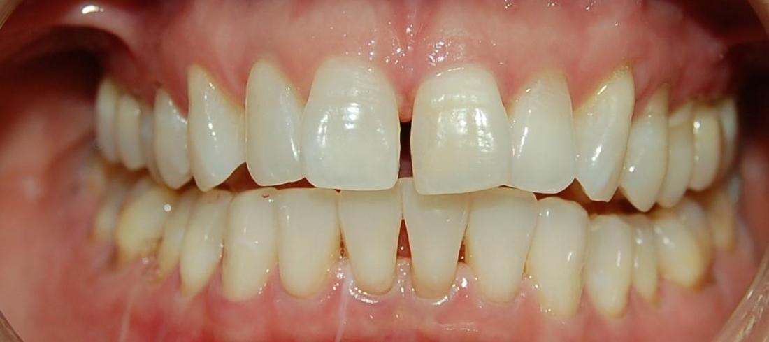
Front Teeth Restoration

Betsy has great hygiene, great teeth, and a winning smile. The only thing that bothered her was the gap in between her two front upper teeth. In one appointment, Dr. Liz placed bonded composite restorations on both of her front teeth to close the gap. The result was natural, bright, well matched restorations that fit her smile perfectly.

Patients front teeth with gap before dental bonding in Rockville Patients teeth after dental bonding in Rockville, MD
Improve your smile today – call to schedule a consultation!