Ceramic Bridge Restoration

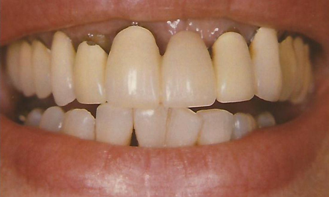
Carole was concerned her old bridge that replaced her two front teeth was starting to chip. But not only was the porcelain fractured near the gumline on one tooth, the front two teeth were two different sizes! We made her a new ceramic bridge to give her a brighter, more balanced smile. A simple Botox treatment added the finishing touch so Carole doesn’t expose so much of her gumline when she smiles.

Before mis-fitting bridge | Rockville, MD | Gladnick Family & Cosmetic Dentistry Corrected Ceramic Bridge | Rockville, MD | Gladnick Family & Cosmetic Dentistry
Have Questions? Get in Touch