Dental Fillings

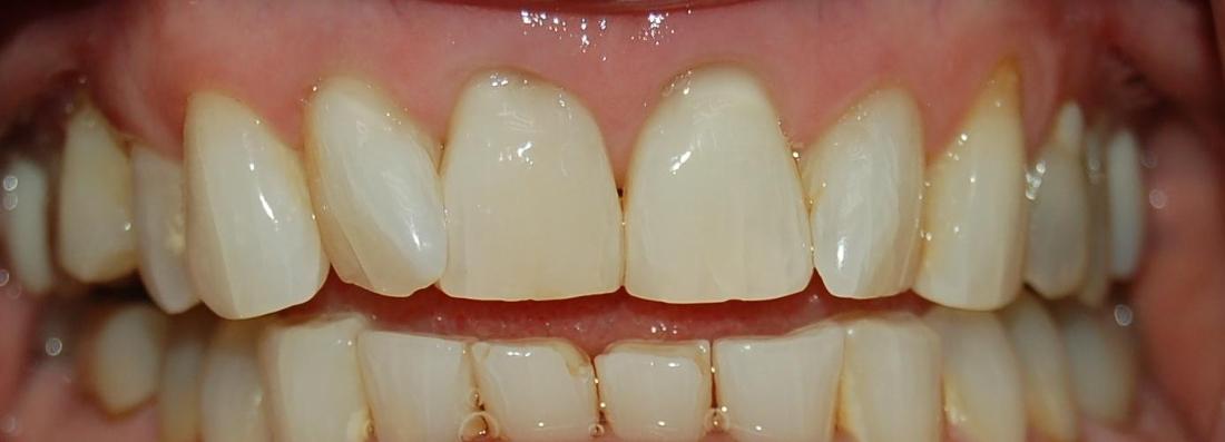
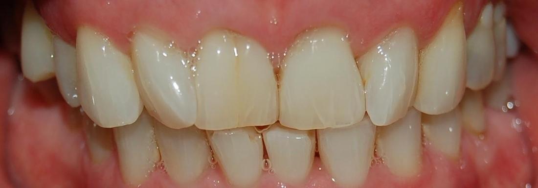
Lindsay has a great oral hygiene, and we rarely find any cavities during exams, but she has been concerned with this dark line running down the middle of her front tooth. In less than an hour, we were able to successfully mask the discolored area with a bonded composite restoration in Rockville. The best part? No injection necessary! It was a painless transformation!

Related Services:

Fillings
Before Dental Bonding | Cosmetic Dentist Rockville MD After Dental Bonding | Dental Bonding Rockville MD
Still need an appointment?